Svetozara Markovića 56
Beograd
I kod sasvim male dece je moguće uspešno uraditi protezice koje će nadoknaditi nedostajuće mlečne zube. One se najčešće rade u slučajevima gubitka zuba posle vađenja ili povreda.(Slika 1.)

Delimične(parcijalne) pokretne proteze koje nadoknađuju izgubljene prednje mlečne zube zbog povrede(gornji red) ili karijesa ranog deinjstva(donji red)
Izgubljeni mlečni zubi bi trebalo da se nadoknade jer mogu da:
Još jednom napominjemo da inficirani i razoreni mlečni zubi MORAJU DA SE UKLONE jer ugrožavaju opšte zdravlje pa makar se i razvile sekundarne teskobe. Naravno, one mogu da se spreče sa izradom protezica koje se zbog toga i nazivaju „čuvari prostora“. Čuvanje obolelih i razorenih mlečnih zuba predstavlja ozbiljnu stručnu grešku o čemu smo već pisali u više navrata: https://www.facebook.com/1519254881...
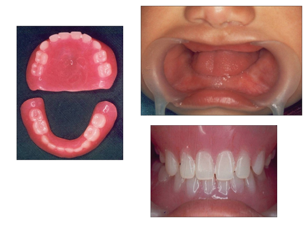
Čuvari prostora nisu potrebni kod gubitka prednjih mlečnih zuba, ali protezice tu nadoknađuju funkciju govora i estetike. Često protezice moraju da nadoknađuju zube i u prednjem i u bočnom delu.(Slika 2)

Pokretne protezice koje nadoknađuju mlečne zube izvađene zbog karijesa i u prednjem i u bočnom predelu vilica
Poseban razlog za obaveznu izradu protezica sa zubima, su nasledni poremećaji koji se manifestuju i sa nedostatkom manjeg ili većeg broja mlečnih zuba(kasnije se to uglavnom prenosi i na stalne). Ponekada deca nemaju ni jedan iznikao zub. To se stručno naziva anodoncija(delimičan nedostatak je hipodoncija ili parcijalna anodoncija).

Sindrom ektodermalna displasia gde nije došlo do razvitka ni jednog mlečnog zuba pa se oni nadoknađuju totalnim protezicama.
Protezice sa zubima se kod dece izrađuju posle treće godine, jer tada može da se ostvari dovoljno dobra saradnja za neophodne procedure kao što je uzimanje otiska i probe. Princip je manje više sličan kao kod odraslih, ali savremeni materijali značajno olakšavaju postupak.
Deca se vrlo lako i brzo privikavaju na proteze, makar one bile i totalne(kompletne za sve zube). Važno je da se održava redovna higijena sa njihovim čišćenjem i uglavnom se ne nose noću.
Zbog razvoja vilica posle određenog vremena protezice postaju „tesne“ i tada se moraju zameniti novim. Period do zamene je individualan.
Čuvari prostora ne moraju da budu samo u obliku pokretenih protezice sa zubima. On mogu da budu i fiksirane za zube preko krunica ili čeličnih prstenova, a različite žićane omče ne dozvoljavaju pomereanje zuba, o čemu smo pisali: http://www.facebook.com/photo.php?fbid=387015728018405&set=a.151976378189009.40453.151925488194098&type=1&theater
Postoje i protezice gde se nedostatak prednjih mlečnih zuba nadoknađuje sa konstrukcijom fiksiranom za bočne zube.(Slika 4). Pored određenih prednosti(ne mora da se vodi račina o nošenju) nedostatci su otežana higijena i naravno veća cena.

Protezica koja nadoknađuje prednje mlečne zube, ali fiksira se prstenovima za bočne i kao takva se ne skida. Otežano je održavanje higijene.