Stomatološka oridinacija DENT-VAF

Svetozara Markovića 56

Beograd

 

Fiksni aparati (fiksne proteze)

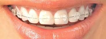
Fiksni aparati podrazumevaju postavljanje bravica,breketa na zube.Ovim ortodontskim aparatima postiže se pravilan međusobni odnos vilica, uspostavlja se optimalan oblik zubnih nizova, kao i idealan raspored i položaj zuba u njima.Ovim aparatom vrsi se kontinuirani blagi pritisak na zube.

 

Terapijom fiksnom protezom resavaju se problemi kao što su:


  • teskoba ,nedostatak prostora u zubnim nizovima (”zbijeni zubi”, ”iskrivljeni zubi”)

  • isturena gornja vilica tzv. distalan zagrižaj

  • izbačena donja vilica tzv. progenija

  • razmaci između zuba, višak prostora u zubnim nizovima

  • visoko - gotsko nepce

  • preklopljeni, rotirani, inklinirani (nagnuti) zubi

  • prekobrojni zubi (npr. meziodens)

  • nedostajuci zubi - hipodoncija


zubne proteze

 

Bravice se mogu postaviti sa spoljasnje (najcesci slucaj) ili unutresnje strane zuba. Kao i u drugim granama stomatologije ortodoncija prati trend estetike pa su na trzistu i providne bravice koje su gotovo neprimetne.Kada govorimo o bravicama koje se postavljaju na zube one mogu biti metalne, ima ih nekoliko tipova, i keramicke.Postoje i bravice od legura zlata koje se postavljaju sa unutrasnje strane zuba a izradjuju se CAD -CAM tehnologijom.Sve one imaju i svoje prednosti i mane od pacijenta do pacijenta i to svakako moramo predociti pacijentima.

 

Odluku o tome da li je fiksni aparat (fiksna proteza) idealno rešenje za Vas donećemo nakon kliničkog pregleda,detaljne anamneze,funkcionalne analize, analize studijskih modela i rentgen snimaka.


zubne proteze zubne proteze

Fiksne aparate razlikujemo prema materijalu od kog su napravljeni:


  1. metalne bravice – danas sa savremenijom sofisticiranom tehnologijom postoje metalne bravice manje velicine ,estetski prihvatljivije.One sve vise ispunjavaju estetske standarde danasnjice.Ovkve bravice zahtevaju elasticne gumice koje ce fiksiratii zicani element fiksne proteze.One mogu biti razlicitih boja pa aparat moze posle svake kontrole dobiti nov izgled.


  2. estetske bravice mogu biti potpuno transparentne bravice od safirnog stakla ili keramicke -bele bravice. Mnogi pacijenti žele da njihov aparat ne bude vidljiv na zubima, što im ova vrsta bravica omogućava i daje samopouzdanje da se osmehuju i u toku terapije.


  3. samoligirajuće bravice – visoko tehnološki unapređene metalne ili estetske bravice koje smanjuju trenje i stvaraju blage sile. Sa ovim sistemom bravica terapija moze krace trajati,konfornija je za pacijenta,lakse je odrzavanje oralne higijene a same kontrole krace traju.


  4. Lingvalne bravice – to je poseban sistem bravica koje se lepe sa unutrašnje strane zuba, tako da se prilikom osmeha ne vidi da ih pacijent ima na zubima.

 

zubne proteze zubne proteze

 

Fiksna proteza se uglavnom koristi u starijem uzrastu i kod izraženih nepravilnosi. Fiksne proteze za zube daju mnogo bolje rezultate od mobilnih proteza za zube jer se ne skidaju i zalepljene su za vaše zube, tako da je korigovanje zuba neprekidno.