Svetozara Markovića 56
Beograd
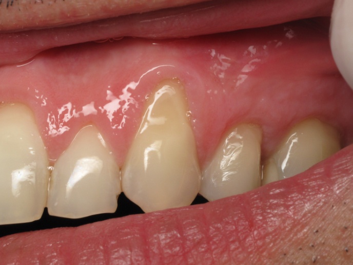
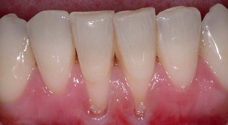
Povlačenje desni predstavlja pomeranje ivice desni (gingive) ka korenu zuba pri cemu se eksponira korenski deo zuba. Povlačenje desni može zahvatiti jedan ili vise zuba (generalizovano povlačeje desni). Povlačenje desni sa zuba može biti različite veličine i oblika.

Usled taloženja minerala u mekim zubnim naslagama (zubni plak) nastaje kamenac.Kamenac udruzen sa losijom oralnom higijenom je osnovni uzrok povlačnja desni i gubitka koštanog tkiva koji "beže" od ove iritacije.
Prvo se razvija upala desni kada su one crvene i uvecane, cesto i krvare. Usled ovoga pocetnog stadijuma dolazi do propadanja desni i ogoljenja korena zuba pa zubi deluju izduzeno. Povlačenje desni ne označava samo gubitak mekog tkiva, već tada dolazi i do gubitka koštanog tkiva. Ukoliko se takvo stanje ne leci dolazi do klimanja i ispadanja zuba a koji su cesto potpuno zdravi.Ovo je inace krajnji stadijum parodontopatije.
Povlacenje tkiva,gingive koje je generalizovano ne dogadja se samo sa spoljne (vestibularne) ,vidljive strane,vec zahvata celokupno meko tkivo oko zuba. Povucene desni samo na jednom ili nekoliko zuba najcesce karakteriše eksponiranje korena sa spoljne strane.
Uzroci:

Cesti uzrok ovakve pojave je nepravilno i energicno pranje zuba udruzeno sa izborom cetkice koja je suvise tvrda .Agresivnim pranjem znaci stetimo nasim zubima.
Jedan od cescih razloga je i okuzalna trauma. Okuzalna trauma nastaje kada prilikom zatvaranja vilice neki zubi dolaze u kontakt sa antagonistom pre ostalih zuba i tada dolazi do njihovog prevelikog opterećenja (trauma).To se moze desavati i prilikom jela kada neki zub tako trpi vece opterecenje. Tada dolazi do destrukcije desni i koštanog tkiva. Postoje dva uzroka ranog kontakta zuba. Prvi je kada usled gubitka nekog zuba dolazi do naginjanja preostalih zuba u vilici i njihovog pomeranja u `` slobodan prostor``. Drugi razlog su ortodontske anomalije zuba.Zbog nepravilnog rasporeda zuba u vilici dolazi do neravnomernog opterecenja .
Kao cest uzrok povlacenja desni je i neadekvatan protetski rad ili plomba, koji iritiraju tkivo gingive i uzrokuju njeno povlacenje. U novije vreme se kao razlog povlacenja desni navodi i stres koji dovodi do nesvesnog stiskanja zuba narocito nocu- skrgotanje zubima.
Kako lečiti povlačenje desni? Univerzalni lek za povlačenje desni ne postoji.
Prvo sto se mora uciniti je da se ukloniti uzrok recesije gingive (povlačenja desni) da bi desni mogle da se oporave.
Ispraviti nepravilan položaj zuba, ortodentskom terapijom.
Selektivnim brušenjem zuba ukloniti traumatski kontakt.
Pravilno odrzavati oralnu higijenu uz upotrebu pomocnih sredstava, konca tecnosti za ispiranje posebnih cetkica po potrebi...
Sve lose plombe i protetske radove sanirati i zameniti...
Na kraju cak i hiruski je moguce ovakve nepravilnosti otkloniti kada postoje vucne sile koje nastaju usled visoko postavljenih plika i frenuluma. Takodje u slucajevima kada nam nije potpuno jasna etiologija nastanka povlacenja desni ili kada je to jedini nacin,pribegavamo hiruskom resenju.