Svetozara Markovića 56
Beograd
Ortopedija vilica (ortodoncija) je stomatološka grana koja se bavi dijagnostikom i lečenjem nepravilnosti zuba, vilica i lica kod dece i odraslih. Naš cilj je da tokom terapije postignemo dobru funkciju oralnog sistema i idealan osmeh koji je usaglašen sa izgledom Vašeg lica!
Ortodontska terapija podrazumeva upotrebu različitih pokretnih i fiksnih aparata koji proizvodeći blagu silu postavljaju zube i vilice u pravilan položaj. To je najbolji način da se poboljša zdravlje Vaših zuba i dobije lepši i skladniji osmeh.

Centar za Detalnu Estetiku i Implantologiju raspolaže najnovijim sistemima ortodontskih aparata koji omogućavaju komfornu, bezbolnu i kraću terapiju. Potpuno transparentne bravice zadovoljavaju i pacijente sa veoma visokim estetskim standardima.

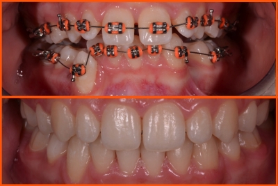
Fiksnim ortodontskim aparatima postiže se pravilan međusobni odnos vilica, uspostavlja se optimalan oblik zubnih nizova, kao i idealan raspored i položaj zuba u njima.
Terapijom fiksnim aparatima rešavaju se problemi kao što su:
Odluku o tome da li je fiksni aparat (fiksna proteza) idealno rešenje za Vas donećemo nakon detaljne anamneze, kliničkog pregleda, funkcionalne analize, analize studijskih modela i rentgen snimaka, kao i fotografija lica.
Fiksne aparate razlikujemo prema materijalu od kog su napravljeni:

Pokretni aparati, poznati kao "dečije proteze", koriste se u terapiji nepravilnosti zuba i vilica dece, u periodu od momenta nicanja prvog stalnog zuba do kompletiranja stalne denticije (nicanja svih stalnih zuba).
Vreme za početak terapije ovim aparatima je individualno. Roditeljima savetujemo da zakažu prvu ortodontsku kontrolu kada dođe do početka smene mlečnih zuba (oko šeste - sedme godine života). Pravovremena kontrola je veoma važna kako bi se sprečio eventualni razvoj ortodontske anomalije.
Na primer, teskoba (nedostatak prostora u zubnom nizu) nastaje nakon preranog gubitka bočnih mlečnih zuba tj. mlečnih molara. Izradom čuvara prostora sprečava se nastanak teskobnosti, tj. nedostatka prostora za smeštaj stalnog zuba koji ce kasnije nići na tom mestu.
Pokretni aparatići sastoje se od akrilatne ploče i žičanih elemenata. Mogu biti izrađeni u različitim bojama u zavisnosti od želje deteta, a mogu imati i šljokice i sličice njihovih omiljenih crtanih junaka.
Pokretni aparati se ponekad koriste i kao priprema za kasniju terapiju fiksnim aparatima.

Funkcionali aparati prenoseći snagu mišića jezika, usana i obraza na zube i vilice dovode do korekcije nepravilnosti zagrižaja. Primenu nalaze kod pacijenata kod kojih je potrebno dodatno stimulisati rast vilice.
Mogu biti:

Teskoba ("preklopljeni zubi", "iskrivljeni zubi") je ortodontska nepravilnost kod koje ne postoji dovoljno prostora za smeštaj svih zuba u vilici. To za posledicu ima rotacije, naginjanja i rast zuba potpuno van zubnog niza. Uzroci ove ortodontske anomalije su brojni. Može biti nasledna (nesklad u širinama zuba i vilica) ili stečena (kao posledica ranog gubitka mlečnih zuba).
Terapija u zavisnosti od uzrasta pacijenta može biti pokretnim ili fiksnim aparatima. O planu terapije donosi se odluka nakon detaljne anamneze, kliničkog pregleda, funkcionalne analize, analize rendgen snimaka, studijskih modela i fotografija lica.

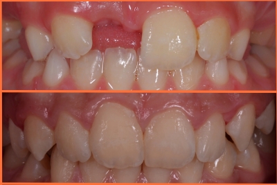
Meziodens je naziv za prekobrojni centralni sekutić (jedinicu) u gornjoj vilici. U najvećem broju slučajeva ovaj zub nikada ne izraste. Na magućnost njegovog postojanja ukazuje prisustvo razmaka između krunica gornjih jedinica koje su nagnute jedna ka drugoj (prisustvo konvergentne dijasteme). Sigurna dijagnoza postavlja se tek nakon analize rendgen snimka i u zavisnosti od lokalizacije prekobrojnog zuba pristupa se planiranju terapije.
Meziodens može pored razmicanja korenova jedinica, biti i prepreka u nicanju susednih stalnih zuba.
U terapiji pristupa se prvo vađenju prekobrojnog zuba, a zatim postavljanju preostalih zuba u pravilan položaj u zubnom nizu fiksnim ili pokretnim ortodontskim aparatima.

Progenija ("isturena" donja vilica) je ortodontska nepravilnost kod koje donja vilica dominira u odnosu na gornju. Ova vrsta ortodontske nepravilnosti je nasledna. Ono što pacijentima najčešće zasmeta je nesklad u profilu lica i osmehu (zbog prenaglašenosti donje vilice donji sekutići se nalaze ispred gornjih).
Terapija se u zavisnosti od uzasta, sprovodi nakon detaljne dijagnostike, fiksniim ili mobilnim ortodontskim aparatima. Pacijenti sa veoma izraženom progenijom zahtevaju dodatne trapijske procedure.

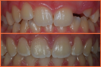
Danas je veoma česta pojava prisustvo zaostalih mlečnih zuba kod odraslih pacijenata. Mlečni zubi su sitniji i drugačije boje i oblika od stalnih zuba te narušavaju estetiku osmeha. Zaostali mlečni zubi mogu se javiti kao posledica impakcije (zadržavanja) stalnog zuba u kosti.
Prisustvo impaktiranog zuba najčešće otkrije stomatolog nakon analize rendgen snimaka. Pacijent se javlja kako bi rešio nedostatak u estetskoj zoni i tada uglavnom po prvi put saznaje za prisustvo neizniklog zuba u vilici.
Najčešći impaktirani prednji zubi su očnjaci. Ranije je, nažalost, terapija impaktiranih očnjaka podrazumevala hirurško vađenje (ekstrakciju). Na taj način se remetila ne samo harmonija osmeha, već su nastajale i određene nepravilnosti zagrižaja. Danas se impaktirani zubi fiksnom protezom veoma efikasno mogu postaviti u zubni niz.
čnjaci su zubi koji daju karakter osmehu, ali imaju i značajnu ulogu u funkciji žvakanja. Zato je od izuzetne važnosti uraditi detaljnu dijagnostiku i terapijom fiksnim aparatima ovakve zube postaviti u pravilan položaj u zubnom nizu