Svetozara Markovića 56
Beograd
Za razliku od klasičnih vizil proteza koje se za zube pridržavaju pomoću kukica, vizil proteza sa atečmenima je napravljena da bi se poboljšala estetika ali i funkcionalnost ovog tipa nadoknade. Osnovnu razliku između ova dva tipa vizil proteza čine atečmeni koji zamenjuju kukice i vezuju se za preostale zube tako da je ta veza nevidljiva. Istovremeno, jačina te veze je značajno veća u odnosu na kukice, što daje i veću sigurnost pacijentima pri jelu i govoru.

Prema definiciji, atečmeni su precizni vezni elementi koji povezuju fiksni i mobilni deo parcijalne skeletirane proteze u jedinstvenu celinu i imaju ulogu u retenciji, stabilizaciji i vođenju proteze u osnovni položaj.

Klizač u gornjoj vizil protezi

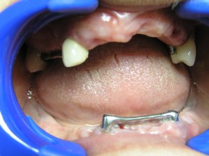
Klizači u donjoj vizil protezi
Atečemeni su zapravo mehanički sklopovi iz dva dela, od kojih se jedan nalazi na protezi a drugi u specijalno izrađenim krunicama na preostalim zubima. Spajanjem ova dva dela u ustima, taj sklop postaje jedinstvena celina odgovorna za pridržavanje proteze, njenu stabilizaciju i naravno estetiku, jer su ti delovi potpuno skriveni u protezi. Takođe ono što je jako bitno, a što je definisano atečmenima, je da proteza ima samo jedan put unošenja i iznošenja iz usta, što čuva preostale zube od dodatnih naprezanja kojim su izloženi zubi kod proteza sa kukicama.
Atečmene možete najlakše uporediti sa drikerima – upravo i jedan tip atečmena funkcioniše baš tako. Na metalokeramičkim krunicama koje su izrađene na preostalim zubima postavi se kuglica slična drikeru , a u protezu se postavi odgovarajuće kućište, i spajanjem ta dva dela proteza se prosto „ukopča“ za zube.
Drugi tip najčešće korišćenih atečmena su klizači, koji funkcionišu po istom principu. Lepota i umetnost izrade vizil proteza sa atečmenima je u mnogobrojnim kombinacijama koje se mogu izvesti samo uz pomoć ova dva tipa atečmena. Klizači i kuglice se mogu koristiti na krunicama izrađenim na preostalim zubima, na korenovima preostalih zuba, na zubnim implantima, a mogu se i pojedini zubi povezati sa prečkama i na njima postaviti neki od ovih atečmena. To se posebno preporučuje kada je preostao mali broj zuba, a želi se postići maksimalan učinak proteze.

Vizil proteza sa atečmenima

Preostali zubi su povezani prečkama a preko njih se spajaju proteze sa klizačima
Ne postoji tačan odgovor, i jedna i druga imaju svoje prednosti i mane, te se tek nakon pregleda i razgovora sa pacijentom može doći do najboljeg rešenja za svaki slučaj pojedinačno.
Zahtevniji vid planiranja i izrade ovog tipa proteze, kao i upotreba već gotovih atečmena,dovodi do veće cene u odnosu na klasičnu vizil protezu sa kukicama. Cena vizil proteze sa atečmenima tipa klizača iznosi 400 evra u dinarskoj protivrednosti ali ta cena može da bude i veća u zavisnosti od izbora samoga atečmena i rešenja koje bi bilo najbolje za dati slučaj.