Svetozara Markovića 56
Beograd
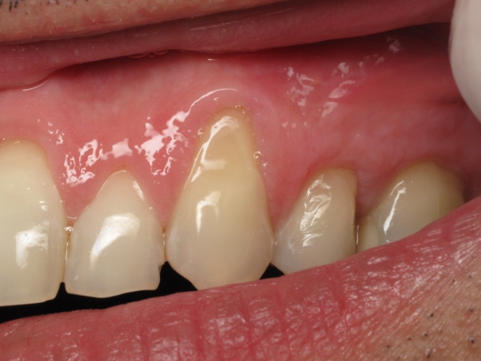
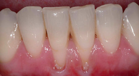
Povlačenje desni je pomeranje nivoa ivice desni (gingive) ka korenu zuba. Povlačenje desni može zahvatiti sve ili skoro sve zube (generalizovano povlačeje desni), a može da zahvati i samo pojedine zube. Povlačenje desni sa zuba može biti različite veličine i oblika.

Početni stadijum parodontoze je upala desni (desni krvare, crvene su i uvećane), a nakon tog stadijuma dolazi do propadanja desni i ogoljenja korena zuba usled čega zubi deluju izduženo. To je poodmakli stadijum paradontopatije i tada dolazi do povlačenja desni sa svih zuba ili sa većine. Povlačenje desni ne označava samo gubitak mekog tkiva, već tada dolazi i do gubitka koštanog tkiva. Vremenom se koštano tkivo toliko ošteti da dolazi do klimanja i ispadanja zuba koji su klinički zdravi. Ovo je terminalni stadijum parodontopatije. Prema tome, povlačenje gingive koje je generalizovano se ne dešava samo sa spoljašnje (vestibularne) strane zuba, nego zahvata i celokupno meko tkivo oko zuba. Kamenac nastaje usled taloženja minerala u mekim zubnim naslagama (zubni plak). Ovo je osnovni uzrok povlačnja desni i gubitka koštanog tkiva koji "beže" od ove iritacije. Povlačenje desni koje se ne manifestuje na svim zubima, nego samo na jednom ili nekoliko, najčešće karakteriše eksponiranje korena sa spoljne strane.

Jedan od uzroka povlačenja desni može biti okuzalna trauma. Okuzalna trauma nastaje kada prilikom zatvaranja vilice neki zubi dolaze u kontakt sa hranom (ili nečim drugim) pre ostali zuba i tada dolazi do njihovog prevelikog opterećenja (trauma). Tada dolazi do destrukcije desni i koštanog tkiva. Postoje dva uzroka ranog kontakta zuba. Prvi je gubitak zuba, kada dolazi do naginjanja preostalih zuba u vilici i njihovog pomeranja i tada dolazi do nepravilnog opterećenja tih zuba. Takođe, problem je i "isplivavanje" zuba iz suprotne vilice u novonastali prostor. Drugi razlog su ortodontske anomalije zuba. Zbog nepravilnog rasporeda zuba u vilici dolazi i do neravnomernog opterećenja. U ovom slučaju uglavnom dolazi do povlačenja desni i gubitka kosti sa samo jedne strane.
U ovom slučaju može doći i do otežanog čišćenja usne duplje usled nepristupačnosti određenih delova vilice što može biti veoma loše. I loša tehnika pranja zuba može biti uzrok povlačenja desni. Treba izbegavati agresivno pranje zuba (veći pritisak nego što je potrebno, previše tvrda četkica, pranje zuba horizontalnim pokretima). Jer ovakav način pranja zuba može rezultovati povlačenjem desni sa zuba. Takođe, neadekvatni protetski radovi i plombe mogu biti uzrok povlačenja desni. Zato nemojte dozvoljavati bilo kome da se brine o zdravlju vaših zuba.
Kako lečiti povlačenje desni?
Univerzalni lek za povlačenje desni ne postoji. Treba ukloniti uzroke recesije gingive (povlačenja desni) da bi desni mogle da se oporave. U zavisnosti od uzroka treba: