Svetozara Markovića 56
Beograd
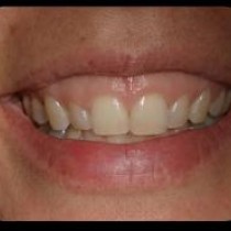
Vidljive desni tokom smeha (Gummy smile ) su relativno česta pojava kod pacijenata. Takve osobe izbegavaju da se smeju ili se nelagodno osećaju u društvu. U svakom slučaju to smatraju za estetski nedostatak.
Taj nedostatak ili problem danas se rešava vrlo lako.
U slučajevima gde je gummy smile veliki zubi su najčešće sitni.
Neretko postoje i dijasteme (razmaci između zuba). U takvim slučajevima neophodno je uraditi uklanjanje viška desni.
Pacijenti iz ordinacije izlaze sa potpuno novim osmehom i postignuti rezultat je odmah vidljiv.
Naravno, posle intervencije je potrebno nekoliko dana da se desni smire i da pacijent nastavi sa dobrom oralnom higijenom.
Postoje slučajevi gde je Gummy smile veliki i gde je potrebno veliko uklanjanje desni, tada se preporučuje u sklopu sanacije i protetski rad (najbolji estetski izbor su bezmetalne keramičke krunice).
Korekcija gummy smile-a podrazumeva produženje kliničke krune zuba.
Ova korekcija se kod nas izvodi rutinski i postoje dve metode:
Takođe se ove dve metode mogu i kombinovati .



Koja metoda će se tačno koristiti zavisi od stanja u Vašim ustima, što se utvrđuje stomatološkim pregledom od strane oralnog hirurga.
Vreme potrebno za samu intervenciju zavisi od broja zuba kod kojih se preduzima korekcija dužine krunice.
Prosečno vreme je oko 30-40 minuta.
Terapijski tretman
Gummy Smile
"Gummy smile" predstavlja urođenu mukogingivalnu anomaliju, kod koje je pri osmehu izrazito vidljiva gingiva i deo mukoze iznad mukogingivalne linije (izrazito vidljive desni). Uzroci su nisko postavljeni pripoji mišića koji kontrolišu kretanje gornje usne, i koji usled hiperaktivnosti povlače usnu u prisilan položaj. Takođe, može biti i posledica ubrzanog rasta zuba kod koga se javlja prekrivanje krunice zuba gingivalnim tkivom, kao i posledica anomalije u razvoju gornje vilice. Vidljive desni tokom smeha su relativno česta pojava kod pacijenata. Takve osobe izbegavaju da se smeju ili, kada to čine, rukom pokrivaju usta, što takodje nije uobičajeno i može da utiče da se te osobe nelagodno osećaju u društvu. U zavisnosti od veličine gingivalnog osmeha, primenjuju se različite procedure. Najčešće se primenjuje gingivektomija (odsecanje i oblikovanje gingive) i produženje kliničke krune zuba.